A kórkép névadó tünetének észlelése, az ultrahanggal felfedezhető polycystás petefészek szerkezet (PCO), nem azonos a szindrómával (PCOS). Nőgyógyászati ultrahang vizsgálat során az ovariumok polycystas szerkezete nem ritka, populációs vizsgálatok szerint prevalenciája elérheti a 21 %-ot. (G.S.)
(A kiemelt kép forrása: http://www.vivahealthylife.com)

A Rotterdam konszenzus (2003) és az Androgen Excess Sociaty PCOS Society (2006) ajánlása szerint a petefészek szerkezetének ultrahangos vizsgálata a PCOS diagnózisának egyik alapvető kritériuma. Ugyanakkor a petefészek szerkezetének ultrahangos vizsgálatának diagnosztikus értéke gyakran megkérdőjelezhető. A petefészek ugyanis normális lehet a PCOS-ban, és fordítva, a policisztás petefészek morfológiát (PCO) a szindróma nélküli nőkben is meg lehet figyelni. A pubertástól kezdve, különböző mértékben, de mindenkinek "cisztás" a petefészke. Ezek a ciszták - az esetek többségében - a fejlődés különböző fázisában lévő tüszők. Ezért serdülőkorban, főleg 17 évesnél fiatalabb lányoknál, nem is javasolt a rutin ultrahangos vizsgálat a petefészek polycystás szerkezetének megítélésére.
Nagyon vigyázni kell arra is, hogy ki, milyen ultrahanggal és milyen szakértelemmel értékeli a petefészek szerkezetét. Az UH sokszor önmagában egyébként nem is informatív kiegészítő hormonvizsgálatok nélkül. Magyarországon a leggyakrabban végzett vizsgálatok közé az inzulin szintek mérése (OGTT) és az AMH meghatározás tartozik, annak ellenére, hogy szakmailag első lépésként az androgének (hím nemi hormonok) és a peteérésre vonatkozó hormonok meghatározása javasolt.
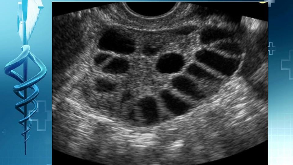
Általánosan elfogadott, hogy a PCOS-ban szenvedő nők általában nagyobb petefészekkel rendelkeznek, megnövekedett tüszőszámmal. A konkrét diagnosztikai határérték azonban az utóbbi években is vita tárgya volt. A most ismertetett diagnosztikai kritériumok a 2018-ban megjelent, bizonyítékokon alapoló irányelvben szerepelnek (International evidence-based guideline for the assessment and management of polycystic ovary syndrome 2018), olyan ultrahangvizsgálatok eredményei alapján, ahol a vizsgálatok magas frekvenciájú endovaginális fejjel történtek.
1. a tüszők száma petefészeknél (FNPO) ≥ 20,
és/ vagy
2. a petefészek térfogata ≥10 ml, nincsennek ciszták, sárgatest vagy domináns tüszők.
A diagnosztikai kritériumokat serdülőkorú nőknél (a menarche-tól számított 8 éven belül, vagy <20 év alatt) az ultrahangot nem szabad a PCOS diagnosztizálására használni, mivel a multi-follicularis petefészek előfordulási gyakorisága ebben az életkorban magas. A jelenlegi ajánlás felülírja a klasszikus rotterdami kritériumok által megfogalmazott definíciót.
Vannak olyan kutatások is, amelyek a normál és a PCOS betegek egyértelmű elkülönítésére a 12 follikulus helyett legalább 26 follikulust szükséges igazolni petefészenként (26>FNPO). Az új FNPO kritérium szenzitivitása: 85%, specificitása: 98%. Az új diagnosztikus kritérium azonban csak az új típusú ultrahangkészülékek (transducer frekvenciája ≥8 MHz) esetén alkalmazható.
A megadott linken normális és PCO szerkezetű petefészkek képei látható (4. kép), HA A KURZORT MOZGATJÁK. A két képet összehasonlítva egyértelműen felismerhető a normál és a PCO szerkezetű petefészkek közötti különbség.
https://www.abc.net.au/news/2018-04-28/polycystic-ovary-syndrome-women-on-life-with-pcos/9607494
ÖSSZEFOGLALVA
A PCO hátterében a follikulusok inkomplett fejlődése vagy ovulációs zavar állhat. Ez gyakori eltérés a pubertás korai vagy középső szakaszában, társulhat táplálkozási zavarokkal, a mellékvese fokozott androgén termelésével vagy hyperprolactinaemiával. Polycystas jellegű ovárium tehát sokszor észlelhető olyan esetekben is, amikor annak klinikai jelentősége nincs.
A nem megfelelő módszerrel és gyakorlattal végzett ultrahangvizsgálat túldiagnosztizálja a PCOS-t, mely kedvezőtlenül befolyásolja később az orvosi döntéseket és a beteg számára is félrevezető információt jelent!
FIGYELMEZTETÉS
Jelen tájékoztató nem helyettesíti kezelőorvosával történő személyes konzultációt!
►Lásd még
A PCOS interdiszciplináris, bizonyítékokon alapuló terápiájának fontossága
Forrás:
- Bachanek,M. és mtsai: Value of ultrasonography in the diagnosis of polycystic ovary syndrome – literature review. J Ultrason. 2015 Dec; 15(63): 410–422.
- Lujan, M. E., Jarrett, B. Y., Brooks, E. D., et al.: Updated ultrasound criteria for polycystic ovary syndrome: reliable thresholds for elevated follicle population and ovarian volume. Hum. Reprod., 2013, 28, 1361-1368.
- Dewailly, D., Lujan, M. E., Carmina, E., et al.: Definition and significance of polycystic ovarian morphology: a task force report from the Androgen Excess and Polycystic Ovary Syndrome Society. Hum. Reprod. Update., 2013 Dec 16.
Szeretne megoldást találni nőgyógyászati és endokrinológia panaszaival kapcsolatban? Szeretne javítani hormonegyensúlyán és egészségén?
Az alábbi problémákra nálam megnyugtató szakértői segítséget kap!
Nőgyógyászati panaszok • PCOS • Inzulinrezisztencia • Fokozott szőrnövekedés, pattanások • Elhízás • Meddőség • Pajzsmirigy- és mellékvese rendellenességek • Egyéb hormonális problémák.
Kattintson az alábbi lehetőségek egyikére.
.jpg)
.jpg)

.jpg)


.jpg)